Coronavirus

COVID-19 ‘long-haulers’ in SC fight symptoms for months: ‘I’ll never be the same again’

Kerri Hill feels “semi-human” these days.

After six months battling the coronavirus, she still has a rattling cough. Her temperature spikes at random times, running over 103 degrees Fahrenheit.

The Horry County resident has to keep notebooks and planners at the ready. If she doesn’t write everything down, she’ll forget it.

“It’s brain fog,” said Hill, 41, in a recent phone interview. “Everything’s muted.”

Her oxygen saturation plummets irregularly and she gasps for air at her home in Galivants Ferry, a small unincorporated community along the Little Pee Dee River. Hill’s life is a shadow of what it once was.

“Is this my new normal?” Hill said. “I’m terrified.”

She’s not alone. Welcome to the world of COVID-19 “long-haulers.”

As the pandemic drags on, experts are racing to better understand why some coronavirus patients suffer from debilitating ailments months after being infected and are trying to confirm whether the virus itself causes neurological complications in both severe and mild cases.

“It’s kind of uncharted territory,” said Dr. Andrew Chan, a professor at Harvard University’s T.H. Chan School of Public Health and chief of the clinical and translational epidemiology unit at Massachusetts General Hospital. “There’s still quite a lot of work to be done to try to understand the mechanism or basis for why people are experiencing some of these symptoms.”

Horrifying stories of lung damage, endless fatigue and cardiovascular issues are being reported by COVID-19 long-haulers around the world, including in South Carolina.

Hill is so stressed that her hair has started to fall out in clumps. She contracted the deadly pathogen in late March, more than 180 days ago.

Megan Wilsey, 32, who lives in Summerville, is being treated for post-COVID-19 complications, even though she never tested positive for the coronavirus, she said. A CT scan showed “ground-glass” opacity in her lungs, Wilsey said, a sign of disease that is commonly linked to SARS-CoV-2 and other infections.

“Hopefully these patients will continue to improve over time,” said James Jackson, director of long-term outcomes at the ICU Recovery Center at Vanderbilt University Medical Center. “Some of them may not.

“Regardless, engaging and intervening with them is the right thing to do. That’s where we need to try to spend our energy, on trying to rehabilitate this enormous number of people who would report to you that their quality of life is greatly diminished.”

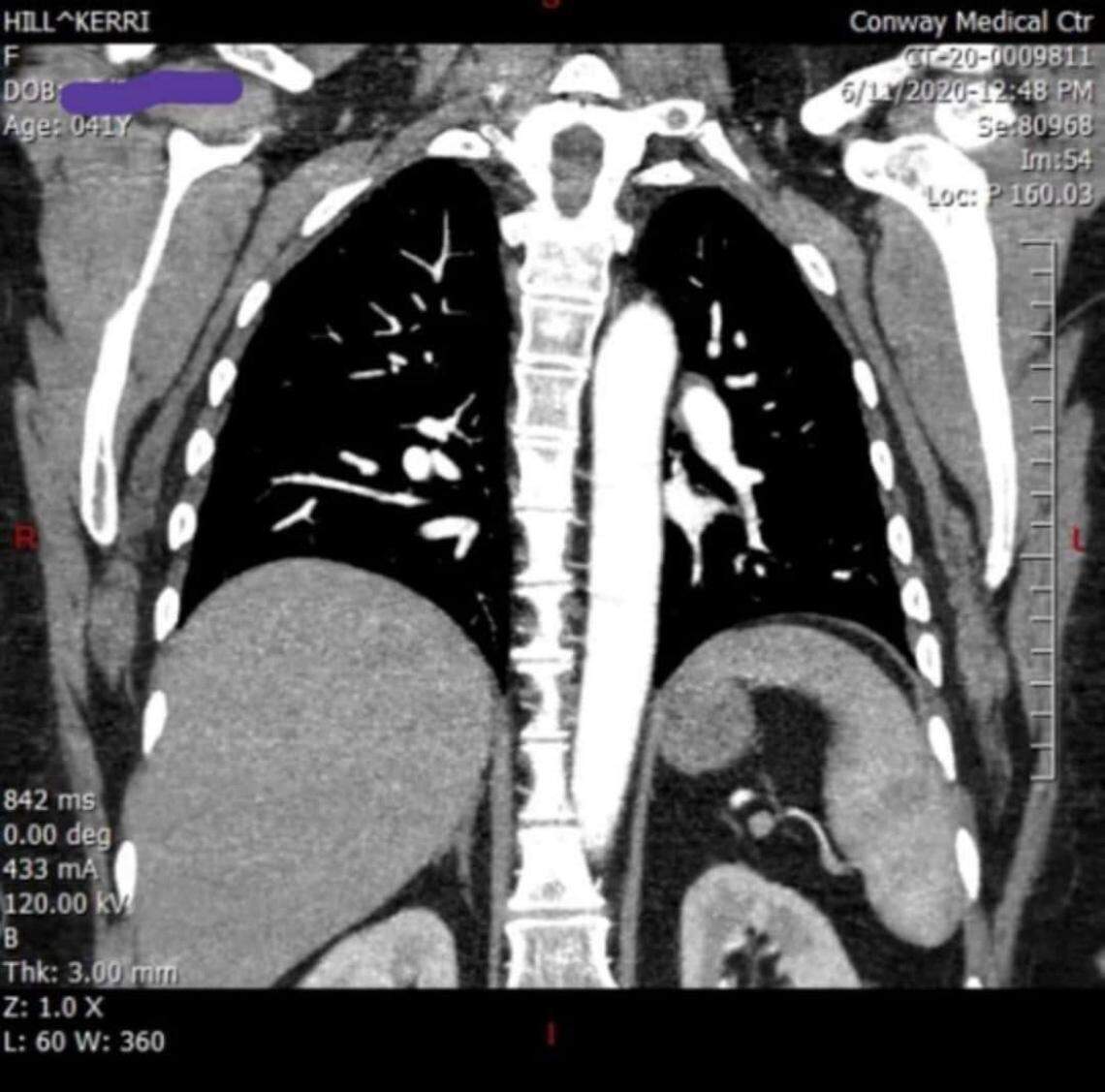
Kerri Hill, 41, of Galivants Ferry, South Carolina, was admitted at the Conway Medical Center in late March after contracting SARS-CoV-2.
Kerri Hill, 41, of Galivants Ferry, South Carolina, was admitted at the Conway Medical Center in late March after contracting SARS-CoV-2. Photo courtesy of Kerri Hill

‘We need to collect more data’

By all accounts, most coronavirus patients won’t suffer from long-term health complications, experts say.

Chan, who helped launch the COVID Symptom Study app, said about 10% of users have reported symptoms lasting longer than 30 days. The app is available in the U.S., the U.K. and Sweden.

Dr. Aluko Hope, co-director of the new COVID-19 Recovery Clinic at Montefiore Medical Center in New York City, said more than 80 patients have received treatment there for post-coronavirus complications.

“It’s never going to be 100% of the population or even anywhere near 50% ... a small minority of patients, when they get acute viral illnesses, they do get chronic effects,” Hope said. “COVID being one of them would not be a surprise.”

He referenced the Epstein-Barr virus as an example, which can cause mononucleosis, with symptoms ranging from extreme fatigue to a sore throat.

But experts also say that much remains unknown about COVID-19.

Researchers are working to determine if some neurological symptoms are directly caused by the virus or are simply the normal effects of an acute disease.

Jackson, for example, said any patient admitted to an intensive care unit for weeks on end might later exhibit brain injuries, depression or other symptoms.

That’s not exclusive to SARS-CoV-2.

“Some of the neurologic complications that people talk about are encephalopathy, disorders of consciousness, confusion, thinking problems ... and then just hypoxic injury, which is basically lack of oxygen to the brain, so these are sort of the most common ... what we think are possible neurological manifestations of COVID,” said Dr. Wendy Ziai, a neurology professor at Johns Hopkins University.

“However, again, it’s very hard to distinguish what is a direct complication of the disease caused by, for instance, viral invasion into the brain compared to what is just a complication of critical illness, where a patient may have ARDS, acute respiratory distress syndrome.”

Ziai is working with a group at the Neurocritical Care Society that’s running a study to analyze possible neurological complications among COVID-19 patients in over 20 countries.

“We need to collect more data,” Chan said.

Some long-hauler symptoms are easier to track, though, including cardiovascular damage and lung issues, he said.

Kerri Hill, of Galivants Ferry, understands that all too well.

Mother’s Day at the window

It started with a tickle in the back of Hill’s throat. Then, a slight cough.

Soon later, she had a fever of around 105 degrees Fahrenheit. Her husband called 911 and Hill was rushed by ambulance to the Conway Medical Center in late March.

Hill was admitted into a COVID-19 unit with double pneumonia and tested positive for the disease. She was never placed on a ventilator, though, and was discharged a week after that.

While isolating at home in bed, she tried to keep the situation lighthearted. She wore a scary doll mask spattered with fake blood, spooking the neighbors at her window. She taped pieces of paper to the glass, writing: “SOS … Craving Braaains … Just Kidding … Send more WINE.”

Three of her kids sat outside on the front lawn for Mother’s Day, unwrapping her gifts to display through the window. She got lotion, coloring books and Reese’s Pieces.

“I didn’t want to stress them and worry them,” she said of her children.

But it was tough for Hill to stay optimistic.

Her husband lost his job as a warehouse supervisor while taking care of her.

She was also briefly readmitted to Conway Medical Center in early August, after her blood pressure hit 250/105.

And her lungs have been scarred, a tell-tale sign of COVID-19.

Kerri Hill, 41, of Galivants Ferry, South Carolina, suffered lung damage due to COVID-19, she said. Hill contracted SARS-CoV-2 in late March, more than 180 days ago.
Kerri Hill, 41, of Galivants Ferry, South Carolina, suffered lung damage due to COVID-19, she said. Hill contracted SARS-CoV-2 in late March, more than 180 days ago. Photo courtesy of Kerri Hill

“I’m gasping for air, I’m dizzy, I’m seeing sparkles in the air,” Hill said. “It’s a mess.”

Now, if she reads a chapter of a book at night, she’ll have to re-read half of it in the morning.

She can’t remember what happened.

‘Just excruciating’

All Velia Woods could do was cry from the pain.

After she was discharged from the ICU at Hilton Head Hospital in mid-July, the 34-year-old coronavirus survivor couldn’t walk well. A medication she was prescribed made her body hurt.

“It felt like someone was scratching the inside of my bones with a splinter and knife,” said Woods, a server at The Crazy Crab restaurant in Harbour Town. “It was just excruciating.”

She’s recovered a bit. Woods is back at work now, two days a week.

But Woods’ cardiologist recently offered her grim news: she suffered right-sided heart failure this past summer.

She now has trouble catching her breath at times. She coughs a little, too.

“(I get) tired if I’m doing something more than 30 minutes. I can’t work out properly. I have throbbing pain on the ride side of my heart all the way down to the back shoulder blade,” said Woods, who lives along Muddy Creek Road on Hilton Head.

She started feeling sick July 5. Woods had a fever and was “super winded.” Maybe her asthma was acting up?

It wasn’t. Woods soon tested positive for COVID-19 at the hospital.

She has trouble remembering what happened after that. She does recall a cardiologist saying her heart was being damaged due to fluid retention.

Now, she’s left taking Lasix, which is used to treat swelling caused by congestive heart failure.

“I feel like the virus gave me very bad anxiety, to where my skin will feel pretty itchy, almost to where I want to rip my skin off,” added Woods, who doesn’t know where she contracted SARS-CoV-2.

A team of researchers in a recent JAMA Cardiology paper found that in 39 autopsies of people with COVID-19 in Germany, cardiac SARS-CoV-2 infections were “frequent.”

The team, though, stressed that further study was needed to learn more about those types of infections.

“Heart failure would be one of the manifestations of — potentially — the virus attacking the heart itself, and that’s certainly possible,” said Ziai, the neurology professor.

Woods said she never had a heart condition before falling ill two months ago. She’s always been healthy.

“Who knows, like, when I get older, if my heart will even be strong enough? ... I could have a heart attack when I hit 60, 50,” she said.

Learning on the fly

Chan, of Massachusetts General Hospital, said there’s no recognized definition yet for post-COVID-19 complications.

“There isn’t a term that we use, and there isn’t a set of diagnostic criteria, and there isn’t a set of treatment algorithms that we’ve all agreed upon,” Chan said.

“We don’t have that wealth of experience to really be confident in our assessment of whether someone truly has or doesn’t have a complication of COVID,” Chan said. “And we don’t have a widely agreed upon set of standards as to what qualifies as a chronic COVID complication. So as a result I think we have people being seen in all different situations, (with) all different criteria being applied to their situation where that lack of consistency has made it frustrating for doctors and patients alike.”

Take, as an example, Megan Wilsey’s experience this past year in the health care system.

Wilsey, 32, of Summerville, thinks she contracted COVID-19 early enough to exhibit symptoms by Feb. 2.

She’s reported shortness of breath, chest pain and nausea, among other things.

Wilsey was never hospitalized, but went to a local urgent care center to seek help, she said. A CT scan showed “ground-glass” opacity in her lungs and Wilsey had atelectasis of the lower left lung, she said.

Since then, she’s struggled with fatigue and brain fog. Wilsey, an employee at an electronics store, was out of work until early July.

Her symptoms started a month before the S.C. Department of Health and Environmental Control confirmed two possible COVID-19 cases in the state. One of those patients was from Charleston County and had recently traveled to France and Italy.

Wilsey, though, insists she contracted SARS-CoV-2.

She’s tested negative for antibodies twice, but a team of scientists at the University of California, Los Angeles in a letter to The New England Journal of Medicine reported that COVID-19 antibodies rapidly decayed in some patients there who had mild infections.

Wilsey’s now being treated for post-COVID-19 complications, she said. She’s also joined the “COVID-19 Long-Haulers Discussion Group” on Facebook.

Ziai, the neurology professor, agreed with Chan and said she doesn’t know of an exact definition for long-hauler complications.

“I’m sure it would include some constellation of respiratory symptoms, maybe cardiac and perhaps neurological manifestations,” she said.

Hope, of the COVID-19 Recovery Clinic, said experts “can’t speak on certain terms” about prolonged symptoms.

“We have to be very ... just compassionate and recognize that, for the most part, these symptoms are real, these symptoms are a struggle, these symptoms will have an effect on people’s lives,” Hope said. “I think we should separate the urge to solve the understanding from really just compassionately listening to the stories and really coming to terms with what people are saying about their journey.”

‘Oh, well, you know, that’s nothing’

Hill, Wilsey and Woods say they’ve been shocked or upset by other residents who don’t take COVID-19 seriously.

Woods has seen people argue online that, “Oh, well, you know, that’s nothing.”

And Hill and Wilsey, during interviews, stressed that SARS-CoV-2 is not the flu and certainly not just a cold.

Hill and Woods also said everyone should take public health precautions to heart, like wearing a face mask.

“This virus is really, really bad. I didn’t think it was this bad,” Woods said. “I was one of those people that was just ‘It would never affect me. It’s never going to be me,’ and here I am now.

“I’ll never be the same again.”

This story was originally published September 24, 2020 at 6:15 AM with the headline "COVID-19 ‘long-haulers’ in SC fight symptoms for months: ‘I’ll never be the same again’."

Sam Ogozalek
The Island Packet
Sam Ogozalek is a reporter at The Island Packet covering COVID-19 recovery efforts. He also is a Report for America corps member. He recently graduated from Syracuse University and has written for the Tampa Bay Times, The Buffalo News and the Naples Daily News.
Get one year of unlimited digital access for $159.99
#ReadLocal

Only 44¢ per day

SUBSCRIBE NOW